Osteochondróza je nemoc světové třídy, protože postihuje lidi na celém světě (40–90 %). Tato patologie se ve většině případů vyskytuje u lidí ve zralém věku po 30 letech. Bolesti zad v každodenním životě jsou často připisovány tomuto onemocnění. V našem článku se podíváme na podrobné příznaky, zjistíme příčiny a metody léčby osteochondrózy. V medicíně se o tomto onemocnění mluví jako o lézi míšní tkáně degenerativně-dystrofické povahy. Osteochondróza je doprovázena lézemi meziobratlových plotének, kloubních ploch, obratlových těl a vazů. Při osteochondróze jsou zpravidla nejprve postiženy kosti a vazy.
Existuje několik fází vývoje osteochondrózy. Podívejme se na ně podrobněji:
- Osteochondróza v počáteční fázi vypadá jako dehydratace pulposus nucleus, což vyvolává pokles polohy obratle. Aby to bylo pro čtenáře jasnější, vysvětlíme si, co je nucleus pulposus. Tento lékařský termín označuje vnitřek meziobratlové ploténky, který je reprezentován polotekutými (vlákna pojivové tkáně) a želatinovými (chondrinovými) složkami. Během tohoto období má pacient trhliny ve vláknitém prstenci.
- Další fáze úzce souvisí s předchozí: v důsledku prolapsu obratlů dochází k poklesu vazů a svalů. Tento stav vyvolává motorickou nerovnováhu obratlů. Toto období je charakterizováno spondylolistézou, zjednodušeně řečeno posunem obratlů.
- Třetí stadium vývoje osteochondrózy je pro běžného člověka charakterizováno nápadnějšími projevy – výběžky meziobratlových plotének (výběžek jejich obsahu) a artrózou.
- Konečná fáze osteochondrózy je spojena s osteofyty. Naše tělo, které si všimne „uvolněnosti“ obratlů, se snaží vrátit páteři její původní funkce: podpůrné a ochranné. Aby toho bylo dosaženo, na površích obratlů se objevují kostní výrůstky, které se nazývají osteofyty. Během stejného období roste vláknitá tkáň. Výsledkem těchto procesů je sevření motorického segmentu páteře do skořepiny.
Osteochondróza je vícedruhové onemocnění. Existuje osteochondróza cervikální, hrudní a lumbosakrální oblasti, stejně jako běžný typ osteochondrózy. Osteochondróza kolenního kloubu je v lékařské praxi stále častější.
Důvody pro rozvoj osteochondrózy
Důvody pro rozvoj tohoto onemocnění jsou četné a není vždy snadné je určit. Ke vzniku osteochondrózy člověka přibližuje dnes tak běžný sedavý způsob života, nadváha, špatné návyky (zejména kouření), špatná strava, ploché nohy, těžká fyzická aktivita a špatné držení těla. Poranění páteře může přispět ke vzniku osteochondrózy a může se také vyvinout v důsledku genetické predispozice. Častou příčinou rozvoje tohoto onemocnění jsou metabolické poruchy, infekce, vrozené anomálie a změny související s věkem. Zajímavým faktem je souvislost mezi rozvojem osteochondrózy a vibracemi. Týká se to přímo řidičů zemědělských strojů nebo obsluhy strojů.
Dnešní osteochondróza nemá žádné vážné věkové omezení – vyskytuje se jak u starších lidí, tak u mladých lidí. Existuje názor, že vývoj osteochondrózy je spojen s usazeninami soli, ale není to zcela spravedlivé. Usazeniny soli jsou pravděpodobnější důsledkem osteochondrózy. Příčinou bolesti při osteochondróze je často podráždění nervových kořenů, v medicíně nazývané podráždění. Cévní poruchy na pozadí osteochondrózy se vyvíjejí v důsledku porušení inervace vazomotorického systému.
Příznaky osteochondrózy

Nejviditelnějším příznakem osteochondrózy je bolest a nepohodlí. Bolest není vždy konstantní; může se periodicky zhoršovat a pak ustupovat. Tyto příznaky jsou často doprovázeny necitlivostí končetin. Ve většině případů bolest vyzařuje do levé části těla. Pokud na sobě pozorujete příznaky tohoto onemocnění, pak si pospěšte a navštivte odborníka – terapeuta nebo neurologa. Detekce osteochondrózy v počáteční fázi zlepší účinnost její léčby.
Při osteochondróze si pacienti často stěžují na zvýšenou únavu. Zajímavostí, na první pohled není jasné, jak s tímto onemocněním souvisí, je chilliness končetin. Bolest hlavy a pocit závratě často doprovázejí osteochondrózu. Charakteristickým znakem onemocnění je také vysoká únava očí až snížené vidění. Při osteochondróze lumbosakrální oblasti mohou pacienti zaznamenat problémy s reprodukčním systémem. Je důležité, aby ženy věděly, že osteochondróza může zasahovat do normálního průběhu těhotenství a samotného početí. Každý typ osteochondrózy má své vlastní charakteristické znaky. U cervikálního typu onemocnění jsou tedy pozorovány příznaky ve formě bolestí hlavy (zejména při pohybu hlavy), závratě při otáčení hlavy, zhoršené citlivosti postižené oblasti, bolesti krku, lopatky, paží a hrudníku. Zajímavým a nepříliš příjemným příznakem cervikální osteochondrózy je zhoršená pohyblivost jazyka. Hrudní typ osteochondrózy je vzácný a je charakterizován bolestí na hrudi, zejména při dýchání. Bolest může vyzařovat do žaludku, srdce a jater. Tento typ se také vyznačuje necitlivostí, pouze nyní v oblasti hrudníku. Při lumbosakrální patologii si pacienti často stěžují na bolest vyzařující do nohou. Dalším příznakem tohoto typu osteochondrózy je paréza dolních končetin.
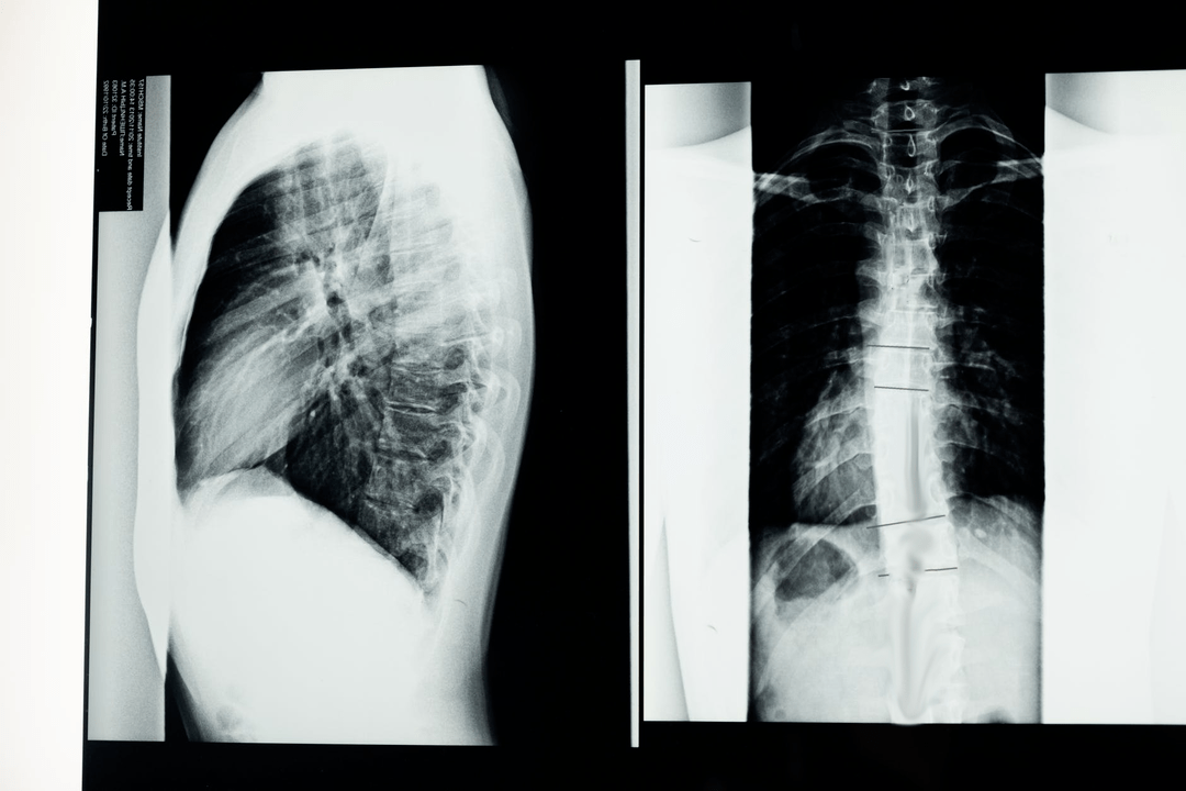
Metody diagnostiky osteochondrózy

Před zahájením diagnostických studií neurolog shromáždí anamnézu pacienta a pečlivě prostuduje jeho stížnosti. Osteochondróza má společné příznaky s některými dalšími onemocněními, takže je důležité umět odlišit patologie. Rentgenové studie pomohou potvrdit diagnózu osteochondrózy: radiografie, myelografie a počítačová tomografie.
Průzkumný rentgenový snímek umožňuje získat rentgenový snímek páteře nebo její části. Tímto způsobem může lékař určit místo postižené onemocněním. Pro názornost si vysvětlíme, jak lze osteochondrózu rtg určit: na snímku bude patrné zúžení meziobratlové ploténky, přítomnost kostních výrůstků (osteofytů) nebo změna tvaru segmentu páteře.
Myelografické vyšetření je složitější než radiografické vyšetření. To je způsobeno určitými manipulacemi, které musí lékaři provádět během myelografie: kontrastní tekutina je injikována do míšního kanálu. To může pro pacienta představovat nebezpečí: za prvé se může vyvinout alergická reakce na injekční látku a za druhé, pokud se punkce nepodaří, může dojít k poškození míchy. Navzdory tomu správně provedená myelografie umožňuje specialistům zobrazit vnitřní strukturu míšního kanálu. Tato metoda je zvláště důležitá pro diagnostiku páteřní kýly.
CT (počítačová tomografie) a MRI (magnetická rezonance) jsou nejúčinnější a nejmodernější metody pro odlišení osteochondrózy a onemocnění páteře s podobnými příznaky.
Léčba osteochondrózy

Léčba osteochondrózy se provádí komplexně. Tato terapie působí na odstranění hlavního syndromu a příčin onemocnění. K boji s osteochondrózou lékaři používají akupunkturu, vakuovou léčbu, manuální terapii, laserovou léčbu, trakci, elektrickou stimulaci, farmako- a magnetickou punkci. Hlavním úkolem pro získání účinné léčby je včasné odhalení onemocnění. Lidé, kteří čelí této vážné nemoci, se obávají hlavní otázky: je možné vyléčit osteochondrózu? Odpověď na to bude záviset na formě a stupni osteochondrózy. Pokud je léčba onemocnění zahájena v první fázi, můžete se navždy zbavit osteochondrózy.
K léčbě osteochondrózy lékaři používají léčivé a neléčivé metody. Mezi léky používanými při léčbě osteochondrózy je třeba zdůraznit:
- Nesteroidní protizánětlivé léky. Pomáhají odstranit bolest a zánět. NSAID mohou být předepsány pro místní použití ve formě mastí a gelů.
- Novokainové blokády. Účinně se vyrovnávají s bolestí.
- Steroidní léky. Jsou předepsány ve formě epidurálních a intramuskulárních injekcí.
- Svalové relaxanty. Takové prostředky pomáhají pacientovi bojovat se svalovými křečemi.
- Vitamíny B1, B6 a B12. Pomohou zlepšit metabolické procesy nezbytné pro zdraví páteře.
Příklady nemedikamentózní léčby jsou různé, zajímavé a zábavné. Následující informace vám pomohou vyrovnat se s projevy osteochondrózy bez léků:
- cvičební terapie;
- fyzioterapie;
- masáž;
- manuální terapie;
- trakce;
- reflexní terapie.
Podívejme se na tyto léčebné metody podrobněji. Fyzikální terapie v případě osteochondrózy je výběr fyzických cvičení k odstranění stlačení nervových kořenů, správnému držení těla a posílení svalového korzetu. Cvičebná terapie pomáhá předcházet rozvoji komplikací osteochondrózy. Taková fyzická aktivita pomáhá snížit zátěž přímo na páteř a také zlepšuje její prokrvení.
K odstranění bolesti a zánětu jsou pacientům s osteochondrózou předepsány fyzioterapeutické postupy. V této oblasti účinně funguje elektroforéza, ultrazvuk, laser a ošetření magnetem. Masáž stimuluje krevní oběh a uvolňuje svalové napětí. K odstranění bolesti pomáhá nejen léčebná masáž, ale také manuální terapie. Navíc pomáhá obnovit pohyblivost obratlů a správné držení těla.

Trakce... co to je? Pod tím na první pohled nesrozumitelné slovo skrývá jednoduchý význam - „rozšíření“. Touha protáhnout páteř je pravděpodobně známá všem lidem trpícím osteochondrózou. V dnešní medicíně existují speciální přístroje, které to umožňují. Tento postup vám umožňuje zbavit se bolesti a zvětšit meziobratlový prostor.
Další zajímavou metodou nemedikamentózní léčby osteochondrózy je reflexní terapie. Úzce souvisí s akupunkturou, neboť se jedná o ovlivňování reflexogenních bodů lidského těla.
Nejlepší lék na osteochondrózu
Ideální lék na osteochondrózu by měl odstranit bolest a zánět, zlepšit krevní oběh, obnovit pohyblivost chrupavek a kloubů a také snížit depresi u pacienta. Se všemi těmito úkoly se vyrovnává komplex dobře zvolených léků. V této části článku všechny tyto léky podrobně rozebereme.
Nesteroidní protizánětlivé léky nebo NSAID pro osteochondrózu

NSAID pomáhají pacientovi s osteochondrózou překonat bolest, zánět a otok. Tyto léky lze vyrábět jak pro místní vnější použití ve formě mastí a gelů, tak pro vnitřní použití ve formě tablet a roztoků pro injekce. Nesteroidní protizánětlivé léky mohou být různých skupin:
- Skupina léků s účinnou látkou diklofenak. Tyto léky zvyšují analgetický účinek jiných léků proti bolesti a snižují zánět. Nevýhodou této skupiny je nemožnost jejich použití během těhotenství a kojení.
- Na rozdíl od předchozích léků jsou léky skupiny ibuprofen schváleny pro použití těhotnými a kojícími ženami pod dohledem lékaře. Látka je dobře snášena, a proto může být předepsána dětem.
- Ketoprofenová skupina léků má zrychlený analgetický účinek.
- NSAID nové generace zahrnují skupinu nimesulid. Mají minimální vedlejší účinky.
Vazodilatátory pro osteochondrózu
Zúžení krevních cév s osteochondrózou je pozorováno v souvislosti s bolestí a svalovým napětím. V důsledku toho dochází k hladovění poškozených tkání kyslíkem a v důsledku toho dochází k narušení funkčnosti vnitřních orgánů. Aby se předešlo takovým komplikacím, lékaři předepisují svým pacientům vazodilatační léky.
Svalové relaxanty pro osteochondrózu
Svalové relaxanty uvolňují svaly a mají uklidňující účinek. To má příznivý vliv na průtok krve a napomáhá analgetickému účinku nesteroidních protizánětlivých léků. Svalové relaxanty také pomáhají urychlit proces opravy poškozené tkáně.
Chondroprotektory pro osteochondrózu
Chondroprotektory a vitamínové komplexy pomáhají obnovit tkáň chrupavky. Chondroprotektory jsou chápány jako prostředky, které obnovují nejen tkáň chrupavky, ale také pohyblivost v kloubu. V této skupině jsou vhodné léky na bázi chondroitinu a glukosaminu.
Sedativa pro osteochondrózu
Zdá se, proč při léčbě osteochondrózy užívat sedativa? Odpověď není tak složitá, jak by se mohlo zdát: syndrom bolesti, který člověka pronásleduje po dlouhou dobu, může snadno vyvolat depresi a častý stres. Ve většině případů postačí užívání tinktury z kozlíku lékařského nebo mateřídoušky.
Ošetřující lékař musí vybrat léky pro léčbu tak závažného onemocnění, jako je osteochondróza.
Korzet pro osteochondrózu

Při komplexní léčbě osteochondrózy jakéhokoli druhu lékaři považují nošení korzetu za užitečné. Korzety jsou speciálně vyráběny samostatně pro oblast krční, hrudní a bederní nebo pro kompletní fixaci páteře. U hrudní osteochondrózy se používají korzety ze speciálního strečového materiálu s kovovými nebo plastovými dlahami uvnitř. Pro bederní osteochondrózu se používají korzety s tuhými křížovými a podélnými vložkami z kovu nebo plastu. Materiál použitý na výrobu je bandážová páska nebo neopren. Krční korzet se nazývá límec a je tuhý. Korzety, které fixují celou páteř, se také nazývají korektory držení těla. Korzety jsou měkké, střední a tvrdé. Stupeň tuhosti korzetu předepisuje ošetřující lékař individuálně.
Nošení korzetu na osteochondrózu pomůže posílit zádové svaly, snížit bolest, zlepšit držení těla, zabránit rozvoji komplikací a urychlit zotavení. Při nošení korzetu platí určitá pravidla. Pacienti s osteochondrózou by měli rozhodně konzultovat výběr a potřebu korzetu s odborníkem. Poprvé se korzet nasazuje ne déle než 15 minut a poté jej můžete nosit nejvýše 6 hodin denně.
Prevence osteochondrózy
Prevence má velký význam pro udržení zdraví páteře a prevenci exacerbací osteochondrózy. Pro prevenci je nutné vést zdravý a aktivní životní styl, cvičit a bojovat s nadváhou, pokud existuje. Stres a nervový šok mohou také způsobit rozvoj osteochondrózy. Proto je důležité hlídat si psychickou stabilitu a vyhýbat se stresovým situacím. Zranění jednou přijatá mohou nakonec reagovat negativním způsobem, takže je třeba se jim od dětství vyhýbat. Zvláštní význam má správná výživa pro osteochondrózu a pro její prevenci.
Dieta pro osteochondrózu

Někteří odborníci hovoří o důležité roli výživy pro zdraví páteře. Produkty konzumované osobou mu musí poskytovat látky, které syntetizují tkáň chrupavky. Hovoříme o mukopolysacharidech obsažených v želé, želatinovém mase a želatině. Je důležité hlídat dostatečný příjem tekutin, protože jejich nedostatek vede k dehydrataci meziobratlových plotének. Proteiny jsou užitečné v normální stravě a zejména v přítomnosti osteochondrózy. Tyto látky lze získat z masa, ořechů, ryb, fazolí a lilku.
Minerály a vitamíny posilují kostní tkáň. Vápník tedy můžeme získat z tvrdých sýrů, mléčných výrobků, fazolí a salátu. Je důležité si uvědomit, že vitamín D, který se nachází ve vejcích, másle a mořských rybách, je nezbytný pro vstřebávání vápníku. Hořčík pomáhá zadržovat vápník v kostní tkáni a zabraňuje jeho vyplavování z těla. Hořčík lze získat konzumací okurek, ořechů a slunečnicových semínek. Mnoho lidí ví o obsahu fosforu v rybách, ale to, že tento prvek obsahuje i hrách, sójové boby, otruby a bílé zelí, je méně známá skutečnost. Mezi zdroje manganu patří kuřecí maso, žloutky, tvaroh, bramborové slupky a banány.
Z vitamínů stojí za vyzdvihnutí zvláštní role skupin A, B a C. Zdrojem vitamínu A jsou syrová vejce, játra, mrkev a meloun. Vitamíny B obsahují vepřové maso, hovězí maso, mořské plody, houby a cereálie. Kyselina askorbová, kterou známe od dětství, se nachází v čerstvém ovoci a zelenině.
Pokud se tedy podíváme na produkty zahrnuté ve stravě pro osteochondrózu nebo pro její prevenci, uvidíme, že z tohoto seznamu můžeme vytvořit nabídku velmi chutných a rozmanitých jídel.
Nyní se podíváme na zakázané produkty. Černá listina produktů pro osteochondrózu zahrnuje: sůl, okurky a marinády, horké koření, zpracované potraviny, cukr (lze nahradit medem), sodu a kávu.
Komplikace osteochondrózy

Osteochondróza, pokud není správně léčena, může vést pacienta k invaliditě. Mezi komplikace této patologie patří:
- Stenóza míchy v důsledku zúžení jejího kanálu. To způsobuje necitlivost končetin a problémy s chůzí.
- Skřípnuté míšní nervy.
- Protruze ploténky a následně intervertebrální kýla.
- Radikulitida.
- Lumbago a ischias.
- Vegeta-vaskulární dystonie.
- Schmorlova kýla.
- Posun obratlů.
- Migréna a bolesti hlavy.
Při osteochondróze krční páteře je často pozorováno zvýšení krevního tlaku.
Pokud máte stížnosti na zdraví vaší páteře, spěchejte vyhledat pomoc od lékaře, protože včasná léčba je klíčem k úspěšnému zotavení.



















